患者周先生(化名)脑积水分流术后4年,出现反复腹腔段堵塞合并颅内感染 ,经过治疗无果后,周先生昏迷不醒,家属几近绝望。最终转入福建三博福能脑科医院神经外科。在首都医科大学三博脑科医院副院长、福建三博福能脑科医院院长林志雄、神经外科主任医师张金锋博士等专家共同努力下,通过综合治疗后,患者康复,站立出院,重获新生。
反复腹腔段堵塞合并颅内感染 苦不堪言
45岁的周先生,4年前因“脑瘤”在省三甲医院行“脑瘤切除术”,术后出现“梗阻性脑积水”,后在该医院行Ommaya置入术和脑室腹腔分流术,术后脑积水情况有所缓解,但出现间断堵管,可自行缓解,因此周先生一直没有太在意。
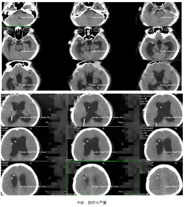
今年5月,周先生出现反复发热,一开始以为是感冒所致,就诊无效后,到医院检查发现,脑积水较之前扩张明显。同时,脑脊液培养痤疮丙酸杆菌,奥斯陆莫拉氏菌、肺炎链球菌等多种细菌,确诊颅内感染、分流管腹腔段感染。当地医院行脑室腹腔分流管储液囊持续外引流,后又行腹腔镜探查+脑室腹腔分流管松解术,术中见分流管窦道周围少许脓样分泌物,剪除末端分流管,并调整腹腔端位置,并进行抗感染治疗等系列治疗。治疗近一个多月,复查CT显示脑积水较前进一步进展,患者情况却越来越糟糕,也陷入昏迷,呼唤言语不清,无睁眼。

看着病情反反复复,当地医生也没有更好的办法,家人着急得不知如何是好。后经过多方打听,了解福建三博福能脑科医院在难治性脑积水/复杂性脑积水诊疗技术方面全国一流,每年进行百余脑积水手术。经过多年研究及经验总结出一整套脑积水专科特色技术,对分流术后的感染、堵管等并发症有一套系统完备的针对性的预防和解决方案,通过脑脊液长程引流、脑脊液净化、精准抗感染治疗、改良的新型分流手术等技术手段,极大提高了治疗成功率,救治了众多脑积水患者。
随后,周先生的家人找到福建三博福能脑科医院院长林志雄教授、神经外科张金锋博士。
将“脑积水”排入“心房”里 持续好转
入院后,张金锋博士安排对周先生进行系统检查,发现颅内感染及腹腔感染依旧严重,脑积水进行性进展。经过科室讨论,林志雄教授、张金锋博士认为,要彻底治疗首先要缓解脑积水进展,并进行抗感染治疗,让脑脊液充分净化,保证原有的杂质没有,原有的顽固细菌全部被杀死并且不再复发,脑脊液清亮,一切达标之后再做脑积水分流术,解决脑积水难题。
林志雄教授介绍,脑室-腹腔分流术的最常见失败原因就是感染,分流管因为是个人工材料的无生命体,本身没有抗感染的能力,所以就变成了一个异物和潜在的感染源。一旦分流术后出现脑室感染,是非常难以治愈的。通常都要把被污染的Ommaya囊、分流管拔掉或外置,抗感染之后再重新分流。
7月1日,林志雄教授、张金锋博士为患者全麻下行“右侧枕角Ommaya囊去除术+右侧额角脑室腹腔分流管腹腔端外置术”,手术顺利。术后予以抗感染、营养神经、雾化化痰、补液、营养支持等系列治疗,并定期复查脑脊液常规、生化、培养,复查脑积水也评估抗感染效果。经过一段时间治疗,周先生的脑脊液充分净化,复查脑脊液结果正常,颅内感染控制良好。他的身体状态也越来越好,也从昏迷状态清醒,肢体各项功能也得到了恢复,进食、记忆力也都恢复得不错。
一切达标了,就可以做脑积水分流术了。林志雄教授、张金锋主任认为,周先生此前两次脑室腹腔分流都发生了感染,再行脑积水腹腔分流容易再次感染、再次堵管,决定实施脑室心房分流术,将患者颅内的“脑积水”排入“心房”里,实现自体吸收,挽救了他的生命。
林志雄教授介绍,“脑室—心房”分流术是一项“入脑动心”的手术,首先是头部手术,穿刺脑室,接分流管,经皮下隧道,通过颈部静脉,穿刺进入心房,这项手术既牵涉大脑,又连接心房,这对术者提出了更高的要求。“对于多次脑室-腹腔分流术治疗失败的难治性脑积水,如术后出现腹腔端反复堵管或存在腹部并发症的患者,临床处理棘手。脑室-心房分流术是主要的替代治疗方法。”林志雄教授说。
9月14日,林志雄教授、张金锋博士领衔的手术组在全麻下行“右侧脑室心房分流术”。术中采用了穿刺微创置入引流管方式,避免了解剖颈静脉的创伤,达到了微创目的。同时采用了术中拍片,可以直视下穿刺颈静脉,直视下明确引流管位置、长度。达到了可视化、精准化的目的。

张金锋博士介绍,心房内主要为静脉回流的血液,内环境较为单一,这样就不用担心分流管会被堵住,“脑积水”顺利排入“心房”里,实现自体吸收,从而达到恢复颅内压和颅内脑脊液正常水平的目的。
术后,患者状态越来越好,周先生从入院时“长期卧床、不能言语”的状态,恢复到能够“正常交流、独立进食”,在家人搀扶下可站立行走,以肉眼可见的速度在好转,住院92天后,周先生顺利康复出院。