
伽玛刀与射波刀
Lars Leksell是瑞典著名的神经外科医生,他独立研发了伽马刀和和立体定向系统,伽马刀的绝技是隔山打牛,不用直接接触人体,就可以***切除坏死病灶。采用伽马刀治疗后,患者坏死的组织和正常组织界限明确,犹如手术刀切割过一样。作为一种新型无创伤治疗手段,伽马刀被誉为“医学史上的革命性突破”、“脑神经外科学的里程碑”。
美国神经外科医生Adler在Leksell教授处学习后于1987年发明了射波刀(射波刀射线来源更方便、治疗范围突破了颅内,但是对于颅内病灶精准度和肿瘤消融力度不如伽玛刀)
伽玛刀
首都医科大学三博脑科医院福建院区(福建三博福能脑科医院)林志雄教授介绍,伽玛刀是立体定向放射外科的主要治疗手段,使用钴-60 产生的γ射线大剂量地聚焦照射颅内病变组织,使之产生局灶性的坏死或功能改变而达到治疗疾病的目的。
其实,伽玛刀的治疗原理类似我们小时候玩的放大镜的聚焦,将光线通过放大镜汇聚到一个点,使这个点产生巨大的热量。伽玛刀利用高穿透性强的高能射线杀死病灶而对周围组织几乎没有影响,从而实现无创、无痛的疾病治疗。
首都医科大学三博脑科医院福建院区(福建三博福能脑科医院)伽玛刀中心主治医师杨永钊介绍,进行伽玛刀治疗前,医生先通过影像技术确定颅内病灶的准确位置、大小以及形状从而制定好放疗方案。方案确定后,需在病人头上安装头架固定或者无框架“面膜”方式下定位。患者躺在伽玛刀治疗台上再安装防辐射防护帽,一是为了防止病人受到额外多余的辐射,二是使射线可以聚集于病灶处,达到有效的治疗效果。根据病灶的形状与大小的不同,经过的照射,即可完成全部治疗。
射波刀
射波刀(Cyberknife,也被音译为“数码刀”、“赛博刀”)是一种精准的放疗技术,是一种机器人辅助X射线立体定向外科放疗系统,它将直线加速器、计算机技术与机器人技术结合在一起,使用大剂量、高能X射线精准对准肿瘤位置进行照射,达到消灭肿瘤的目的。
颅内肿瘤伽玛刀效果如何
研究报告:
《Journal of Neurosurgery》杂志 2019年3月22日在线发表上海仁济医院Cao H,美国Xiao Z、Zhang Y等联合撰写的临床研究《不同大分割立体定向放射治疗技术治疗最长直径超过3厘米的颅内肿瘤Dosimetric comparisons of different hypofractionated stereotactic radiotherapy techniques in treating intracranial tumors > 3 cm in longest diameter.》( doi: 10.3171/2018.12.JNS181578. )文章明确比较了6种放射外科治疗手段,包括了伽玛刀、射波刀和质子刀,研究结论是伽玛刀在肿瘤区域以外剂量跌落是最陡峭的,也就是我们一般理解的最为精准,治疗小到中等的肿瘤,伽玛刀治疗时正常脑组织受到的射线最少。但是当肿瘤体积大于20立方厘米时,质子刀由于拥有的物理特性,开始占据优势,正常脑组织受到的射线最少。
专家共识:
《Current Treatments Options in Oncology 》2021年6月线上刊载美国、加拿大、澳大利亚、新加坡等国14位研究者合作撰写的《如何减轻立体定向放射外科引起的放射性坏死?》VellayappanBA,McGranahanT,GraberJ,et a1.Radiation Necrosis from Stereotactic Radiosurgery-How Do We Mitigate? [J].Current Treatments Options in Oncology,2021,22(57):1-18,文章也明确指出在包括伽玛刀、射波刀以及其他基于直线加速器等的放射外科平台中,伽玛刀最少剂量溢出(也就是最***),理论上产生正常脑组织放射性坏死风险最低。
治疗周期:
伽玛刀治疗脑瘤周期更短。在治疗头部肿瘤时,伽玛刀通常在1次的照射,治疗仅需数十分钟,全过程3--4小时,病人住院观察1--2天,多数病员可短时间返回工作岗位,不影响术后的工作和生活能力。同时,伽玛刀对颅内病灶照射更精准和肿瘤消融力度更强,而射波刀一般治疗次数为3-5次(平均3次),起码一周才能完成。同时伽玛刀治疗费用一般在2万左右,而射波刀则需要5万左右。
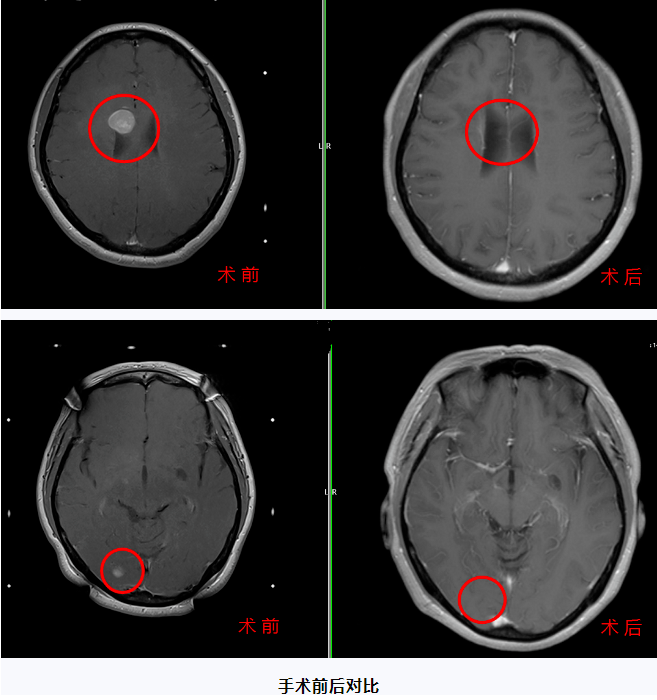
临床病例
患者陈女士(化名)经颅脑CT及PET-CT检查提示颅内占位,之后进行立体定向脑活检术被确诊为“淋巴瘤”,放化疗后病情趋于稳定。2021年底肿瘤复发。2021年12月28日到首都医科大学三博脑科医院福建院区(福建三博福能脑科医院)伽马刀中心治疗,两天后顺利出院。2022年陈女士来院复查MRI,医生发现原有的淋巴瘤消失了!
